logo

905 Roosevelt Hwy. Suite 230, Colchester, VT 05446 ��802-655-5305

Home Meet the Staff Services Contact Forms
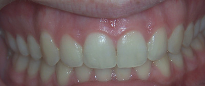
Invisalign
Before: After:
before after